Siret : 52148659700045
Stats : 10 ans d'élevage
31 portées
290 chiots nés
150 Mâles / 140 Femelles
La croissance des A.S
Lorsque vous accueillez votre chiot entre 8 et 12 semaines, ayez ces images à l'esprit, ses os ne touchent pas encore. S’il se déplace si maladroitement avec ses grosses pattes et ses mouvements bancals c’est parce que ses articulations sont entièrement constituées de muscles, de tendons, de ligaments, son squelette n’est « pas soudé ».
Il n’y a cependant pas que quand votre chiot est « bébé » que vous devez être vigilants, voilà pourquoi nous ne devrions pas effectuer d'activité physique intense avec nos chiots avant 18 voir 24 mois.
Le niveau d'exercice recommandé pour les chiots est de 1 minute pour chaque semaine de leur vie deux fois par jour. Il est mieux de privilégier des périodes d’activités courtes et répétées.
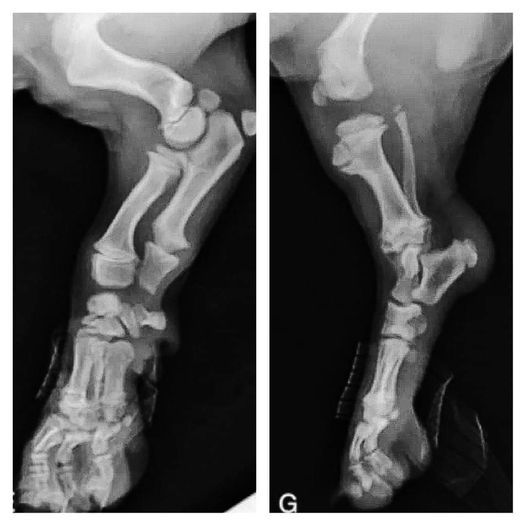
Photos Veteriankey.com @ 62 jours
Le rythme de croissance des chiots varie considérablement selon sa taille adulte. Il est donc important d'adapter son régime alimentaire et de respecter une hygiène de vie spécifique afin de lui assurer un développement squelettique idéal.
L'ossification endochondrale (le processus durant lequel le cartilage se transforme en os), diffère selon la taille adulte du chiot. L’ossification complète avec fermeture des plaques de croissance se produit entre 3 mois dans les races de mini et 24 mois dans les grandes races (voir photos) ...
Il existe de nombreux facteurs affectant la vitesse de croissance et l'âge de maturité du chien, par exemple, les mâles terminent leur croissance plus tardivement que les femelles. Il y a des variations dans les périodes de ′′ croissance rapide ′′ allant de la naissance à 11 semaines chez les petits chiens et de la naissance à 20 semaines pour les grandes races.
Un exercice excessif et une nutrition inadéquate pendant ces périodes peuvent conduire à des problèmes de conformation et à la malformation des os, ce qui peut entraîner arthrose, maladie articulaire dégénérative et autres troubles musculo squelettiques.
Lorsque vous stimulez excessivement votre chiot ou que vous ne restreignez pas son exercice pour l’empêcher de faire trop de choses pendant cette période, vous ne lui donnez pas les meilleures chances de grandir correctement.
Chaque grand saut ou course excitée provoque des impacts entre les os. En quantité raisonnable, cela n'est pas problématique mais lorsque vous laissez votre chiot sauter, faire de longues promenades / randonnées…., vous abîmez ces articulations. Les lésions sont irrémédiables et votre chiot n'a pas de seconde chance.
Si votre objectif est de vous entraîner pour l’endurance, le canivtt, l'agility ou autre, il est recommandé d'éviter tout entraînement intensif jusqu'à l'ossification complète.
Cependant ne pas aller trop vite ne signifie pas ne rien faire pendant ce temps, en effet il a beaucoup d'autres choses à partager avec lui : la socialisation, le jeu, la stimulation cérébrale, l’éducation, la recherche, etc...
Une fois adulte, vous aurez le reste de sa vie pour vous engager dans des activités physiques plus intenses. Alors merci de respecter sa croissance pendant qu'il est encore petit, offrez-lui ce cadeau qui ne peut être fait qu'une seule fois, grandir en harmonie dans sa tête et dans on corps.
Il faut garder à l'esprit que le chiot a une croissance rapide et pour l'accompagner dans cette croissance, nous préconisons fortement de voir un osthéo entre 6 et 9 mois à voir ensuite avec celui-ci s'il est nécessaire de le revoir vers 1 an - 1 an 1/2. Nous vous conseillons de prendre un vétérinaire-osthéo qui a la double compétence.
(Texte inspirée des publications facebook de Herberg Boerboele et JL Sippel)